При изменении цены на товар мы будем вынуждены перевыставить Вам счет
Преимущества
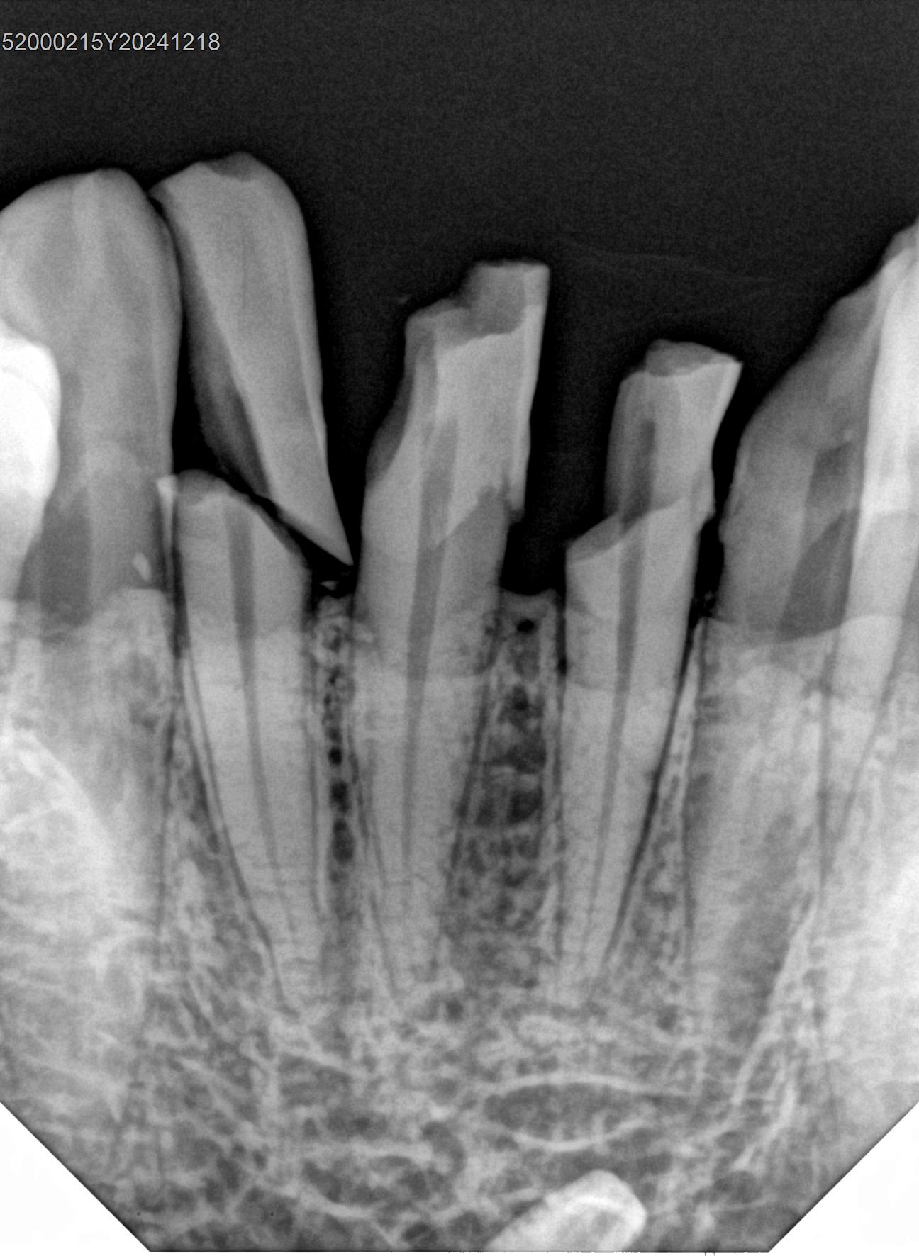
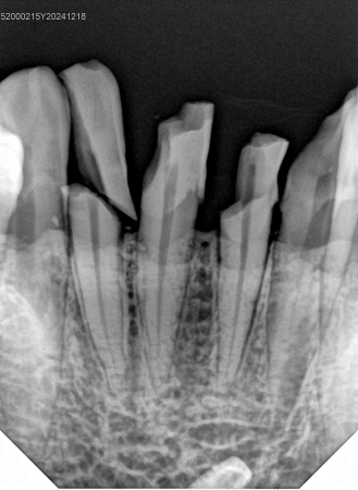
Более быстрая визуализация
По сравнению с традиционной пленкой скорость получения изображения, с помощью датчика HDR, намного выше.
Большая активная область
Размер датчика HDR-380 имеет большую активную площадь 24x33 мм., в то время как большинство датчиков на рынке имеют размер 20x30 мм. Активная зона способна охватить больше данных, особенно область моляров, поскольку средняя длина моляра составляет 22 мм.
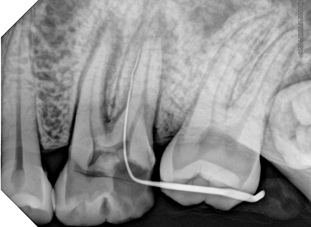
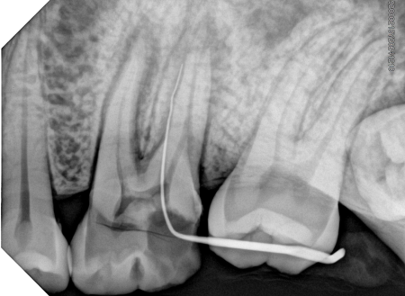
Более высокая четкость
Благодаря размеру пикселя 18,5 мкм легко обнаружить даже малозаметную апикальную бифуркацию.
Многофункциональное программное обеспечение для управления изображениями
Программное обеспечение для визуализации Handydentist, с мощными алгоритмами обработки изображений и логической структурой управления, помогает упростить повседневную практику стоматологов.
Лучшая совместимость
Систему HDR можно интегрировать в большинство ПО визиографов других производителей.
ХАРАКТЕРИСТИКИ
КОМПЛЕКТАЦИЯ1. Датчик интраоральный с соединительным кабелем
2. Лицензия ПО HandyDentist, для установки на не ограниченное кол-во ПК.
3.Сервер - ОПЦИЯ (объединение всех ПК для работы в общей базе).
4. Руководство по эксплуатации.
5. Держатель датчика
6. Чехлы одноразовые в упаковке 100 шт
Технические характеристики
- Технология датчика CMOS
- Размеры датчика, не менее 41х29,6 мм
- Толщина датчика, не более 6 мм
- Активная зона, не менее 33х24 мм
- Размер пикселя, не более 0,018 мм
- Разрешающая способность (теоретическая), не менее 27 пары линий/мм
- Разрешающая способность (фактически), не менее ≥14 пары линий/мм
- Прямое подключение к USB порту ПК
- Количество уровней серого, не менее 4 096
- Длина провода USB, не менее 2 м
Для покупки товара в нашем интернет-магазине выберите понравившийся товар и добавьте его в корзину. Далее перейдите в Корзину и нажмите на «Оформить заказ» или «Быстрый заказ».
Когда оформляете быстрый заказ, напишите ФИО, телефон и e-mail. Вам перезвонит менеджер и уточнит условия заказа. По результатам разговора вам придет подтверждение оформления товара на почту или через СМС. Теперь останется только ждать доставки и радоваться новой покупке.
Оформление заказа в стандартном режиме выглядит следующим образом. Заполняете полностью форму по последовательным этапам: адрес, способ доставки, оплаты, данные о себе. Советуем в комментарии к заказу написать информацию, которая поможет курьеру вас найти. Нажмите кнопку «Оформить заказ».
Способы оплаты:
Для юридических лиц:
Пожалуйста, пришлите реквизиты вашей клиники на нашу электронную почту info@pskdent.ru. Вам будет выставлен счет для оплаты и выслан на указанный вами e-mail. Для ускорения отгрузки пришлите копию документа, подтверждающего оплату.
Для физических лиц:
- Наличными курьеру при доставке (для ограниченного ассортимента).
- С помощью банковской карты в магазине.
- Через Ваш онлайн-банк или в кассе банка по выставленному нами счету, с прямым зачислением оплаты за товар на расчетный счет организации. (отгрузка осуществляется после зачисления денежных средств на наш расчетный счет, от 1 до 2 рабочих дней).
- Наложенным платежом через Почту России (для ограниченного ассортимента).
*Внимание! Перед оплатой уточняйте у менеджера наличие и сроки отгрузки товара.
ПОДРОБНЫЕ УСЛОВИЯ ПО ОПЛАТЕ ЗДЕСЬ
Способы доставки:
Самовывоз
Адрес пункта выдачи:
Тольятти, улица Белорусская, д.6, помещение 1006.
(правое крыло, заезд со стороны Белорусской)
Часы работы:
Пн-Пт с 08:30 до 17:30
Курьерская доставка
Доставка по Тольятти
Доставка в пределах города Тольятти осуществляется бесплатно при сумме заказа от 2500 руб.
Доставка транспортными компаниями
Доставка по всей России:
- Мы организуем доставку в любой населенный пункт Российской Федерации с использованием проверенных транспортных компаний с учетом особенностей и требований доставки конкретного товара.
- Оплата услуг транспортной компании оплачивается вами непосредственно транспортной компании (СДЭК / Деловые Линии / DPD / ЖелДорЭкспедиция/Почта России).
- Стоимость доставки мы рассчитаем для вас самостоятельно и сообщим при обработке заказа. Для вашего удобства стоимость доставки мы можем включить в стоимость товара (в этом случае вам не потребуется оплачивать доставку при получении товара).
- Доставка до филиала транспортной компании осуществляется нами бесплатно.
